
Они выполняют функцию своеобразного кровяного фильтра, удаляя из организма отработанную жидкость с вредными, токсичными веществами в виде мочи.
По разным причинам в почках могут появиться очаговые новообразования, которые несут угрозу здоровью и жизни больного.
Общая информация
За последние 20 лет рост почечных очаговых новообразований стойко увеличивается.
Этим термином называется опухоль почки — патологическое увеличение органа, характеризующееся ускоренным разрастанием тканей почечной паренхимы и изменением клеток.
Изменения делятся на доброкачественные и злокачественные.
Причины возникновения

При возникшем сбое системы начинается несоразмерное деление клеточных структур, их разрастание, что снижает работоспособность органа.
Одной из предпосылок возникновения очагов новообразований в почках считают генетическую предрасположенность.
Также существуют факторы риска, способствующие формированию патологических образований:
- негативное влияние химических, токсических веществ, курение;
- воздействие радиации, излишних ультрафиолетовых лучей;
- травмы почек;
- длительные инфекционные и другие хронические заболевания почек;
- бесконтрольный прием противоболевых и гормональных препаратов;
- частый гемодиализ при почечной недостаточности.
Заболевание регистрируется у людей пожилого возраста в силу возрастных изменений более часто. По половому признаку количество почечных образований у мужчин обнаруживается больше, чем у женщин.
Печально, что иногда заболевание развивается у детей. Конкретные механизмы, которые приводят к возникновению патологии, на данный момент не известны.
Виды очагового образования

К доброкачественным видам относят:
- кисту, в ее полости содержится жидкость;
- аденому, которая поражает железистый эпителий;
- фиброму, развивается на волокнистой соединительной ткани;
- миому, формируется на мышечной ткани;
- ангиому, лимфангиому, возникают из разросшихся кровеносных, лимфатических сосудов;
- папиллому, вырастает на слизистых оболочках лоханки органа;
- гемангиому, образуется из-за разрастания паренхиматозной ткани;
- дермоиды кистозного типа.
Доброкачественные новообразования на ранней стадии не нарушают функции органа. Опухоль растет медленно, структура ткани не разрушается, метастазы не образуются.
Однако, при росте объма образование оказывает негативное действие на мочевыводящую систему, повреждает сосуды, вызывает кровотечение. Имеется риск преобразования доброкачественной опухоли в онкологическую.
Большая часть объемных образований — это онкология, практически 90%. К онкологическим образованиям относятся:
- саркома почки, поражает соединительную ткань;
- липоангиосаркома;
- нефробластома, опухоль Вильмса;
- папиллярный рак;
- клеточный, плоскоклеточный рак;
- смешанные типы рака.
Клеточный рак характеризуется высокой степенью агрессивности со стремительным метастазированием в прилегающие органы, в костные ткани, легкие.
В отдельных случаях рак развивается медленно, метастазы возникают спустя десятилетия.
Онкологические болезни характеризуются односторонним поражением почек, но некоторым свойственно двустороннее поражение органа. Например, саркома у детей почти всегда имеет двусторонний характер.
Любой вид опухоли из вышеперечисленных является причиной увеличения в объеме левой или правой почки.
Особенностями локализации опухоли в правой почке станут следующие проявления:
- отечность нижних конечностей;
- болевые ощущения справа;
- лабораторный анализ мочи показывает белок;
- проблемы с сердцем, печенью.
Все это обусловлено нарушением кровотока в нижней полой вене.
Левосторонняя почечная опухоль менее опасна, проявляется болью в боку слева и расширением вен в паховой области.
Проявление клинической картины
На ранних стадиях развития новообразования на почках, симптомы скрыты или слабо выражены. В этот период опухоль обнаруживается случайным образом при плановом осмотре.
Дальнейшее развитие доброкачественных образований сопровождается следующими симптомами:
- субфебрильная температура тела до 38 градусов;
- слабость, утомляемость;
- снижение аппетита, резкое снижение массы тела;
- отечность ног, варикозное расширение вен;
- интоксикация организма;
- анемия;
- повышение СОЭ.
Характерны жалобы больного на тянущую боль в поясничной области со стороны поврежденного органа.
Аналогично, развитие онкологических образований в начальной стадии идет без жалоб на самочувствие больного. Возникновение метастазирования негативно действует на весь организм. Появляются характерные, ярко выраженные, симптомы:
- кровь в моче, признак стремительного разрастания клеток;
- острые боли в пояснице, животе;
- почечные колики;
- отечность ног, варикоз;
- сниженный уровень гемоглобина, рост СОЭ;
- гипертония;
- лихорадка.
На поздних стадиях развития онкологии может появиться сильный кашель с кровью, это свидетельство того, что метастазы достигли легких.
К какому врачу обратиться и как диагностировать болезнь
При первичных симптомах неполадок с мочевыводящей системой необходимо обратиться к врачу терапевту. Если терапевт делает заключение, что проблемы именно в этой сфере, он дает направление к узкопрофильному специалисту: урологу, нефрологу.
Терапевт или уролог назначает комплекс диагностических процедур, включающих УЗИ брюшной полости, клинические анализы крови и мочи.
Основным методом раннего диагностирования новообразований почек является УЗИ, может применяться компьютерная магнитно- резонансная томография, рентгенологические обследования, нефросцинтиграфия ( радиоизотопное исследование).
Пункционная биопсия считается дополнительным методом диагностики. Исследуется проба тканей опухоли, она определяет онкологическое это образование или доброкачественное. По результатам исследований врач выбирает стратегию лечения пациента.
Способы терапии
Лечение новообразований на почках осуществляются в зависимости от диагноза и стадии развития объемного образования.
Традиционные методы
Кардинальный способ лечения это — хирургическая операция различной степени, от частичного удаления почечных тканей до полного удаления органа.
Удаление доброкачественной опухоли осуществляется в крайнем случае. Рациональным оперативное вмешательство становится при стремительном ее росте, сдавливании соседних органов, упадке сил у пациента, нарушении функций почки.
В остальных случаях осложнения после хирургического вмешательства не будут оправданы.
При развитии онкологической опухоли правильным вариантом лечения считается радикальное удаление поврежденной почки- нефрэктомия. Удаление первичного очага метастазирования продлевает жизнь больного.
Кроме оперативного способа лечения до и после операции применяется химиотерапия и лучевая терапия. Они необходимы в качестве вспомогательных процедур для торможения развития новообразования.
Также они улучшают качество жизни больного и могут быть основным лечением, если оперативное вмешательство уже невозможно. При своевременной диагностике лечение при помощи химиотерапии допустимо без операции.
В некоторых ситуациях, при незначительных злокачественных образованиях, оказывается действенным применение метода криотерапии, когда пораженные ткани подвергаются заморозке при помощи криозондов.
Диета и народная медицина
Любой метод лечения предполагает дополнительное назначение лекарственных препаратов для поддержки иммунитета и нормализации гормонального фона.
Соблюдение правил здорового образа жизни и специальной диеты с исключением вредной пищи является необходимым условием при лечении новообразований.
В качестве дополнения к основному лечению раковых заболеваний по согласованию с лечащим врачом можно использовать эффективные народные средства: прополис, различные грибы, травы.
Приведем некоторые рецепты, признанные официальной медициной:
- Гриб чага, содержит ценные микроэлементы и биологически активные вещества. Классический рецепт настоя чаги состоит из измельченного свежего гриба, залитого водой в соотношении 1:5. Поставить на 2 дня в темное место. Либо готовится настойка из 0,5 стакана сухого гриба, залитого 1 л водки, спирта, настаивать 14 дней в темноте, принимать по 1 десертной ложке перед едой 3 раза.
- Травяной сбор Монастырский состоит из 16 трав. Рецепт для лечения онкологических заболеваний из Тимашевского монастыря. Состав:
- толокнянка, шиповник, череда, бессмертник по 20 г;
- полынь 15 г;
- шалфей 35 г;
- цветки липы, почки березы, кора крушины, пустырник, календула, ромашка, чабрец, тысячелистник, сушеница по 10 г.
Концентрированный отвар готовится из 6 ст. ложек смеси на 2,5 литра кипятка, упаривать 3 часа на медленном огне. Принимать по 1 ст. ложке за 1 час до еды 3 раза в день. Курс лечения один месяц. В течение года проводить 2 курса. Действует положительно при опухоли даже в запущенной стадии.
Альтернативные рецепты для лечения рака служат только вспомогательным средством.
Применяются после консультации врача, учитывающего индивидуальные особенности организма и стадию развития заболевания.
Осложнения и последствия
При доброкачественных образованиях не исключены такие осложнения, как прогрессирование артериальной гипертензии, почечные колики, расстройство функции почки, злокачественное перерождение.
При раковых заболеваниях возникают следующие осложнения:
- кровь в моче со сгустками;
- почечная недостаточность;
- рост опухоли с метастазированием в лимфатические узлы, печень, кости, головной мозг, легкие;
- значительное ухудшение самочувствия.
В процессе хирургического лечения могут возникнуть кровотечения, инфицирование во время операции. После лучевой и химиотерапии регистрируется тошнота, рвота, выпадение волос, возможно появление новых опухолей от воздействия радиации, типа лейкемии.
Профилактика и прогноз
Определенно причину возникновения новообразования почки определить невозможно. Нет универсального средства, устраняющего развитие опухоли, но можно предотвратить факторы риска.
Меры профилактики предусматривают полноценное питание, здоровый образ жизни, ограничение контакта с токсическими веществами. При генетической предрасположенности необходимо регулярное посещение врача.
Прогноз в случае рака почки определяется стадией заболевания. Показатель эффективности лечения по медицинской статистике оценивается в рамках 5-ти летней выживаемости:
- если опухоль была обнаружена на ранней стадии, то он составляет 70-80%;
- вторая стадия, распространение на почечные вены, от 40 до 60%;
- третья- четвертая стадия, поражаются лимфоузлы, от 5 до 20%.
Прогноз на поздних стадиях не утешителен, у 95% больных происходит летальный исход в течение 5 лет после операции. Лучший показатель дает опухоль Вильмса, при отсутствии метастазов излечение наступает в 70-90 % случаев.
Эти данные считаются усредненными так, как развитие очаговых заболеваний в почках зависит от индивидуальных характеристик здоровья конкретного человека.
Меры, предпринятые на ранних стадиях заболевания, в большинстве случаев приводят к излечению. Врачи отводят большую роль эмоциональному состоянию пациента. Грамотное психотерапевтическое воздействие на больного дает неоценимый положительный эффект в выздоровлении.
Некоторые случаи отличаются полным отсутствием каких-либо симптомов, а другие могут стать причиной появления почечной недостаточности.
Классификация объемных образований
Как правило, в связи с патологическими изменениями в почках возможно появление доброкачественных или злокачественных опухолей. К отличительным особенностям первых можно отнести медленный рост, благоприятный прогноз (при своевременном выявлении) и отсутствие прорастаний в рядом лежащие клетки. Стоит отметить, что при почечно-клеточном раке (ПКР) образование отличается высокой предрасположенностью к появлению метастаз.
Запись размещена в разделах: УрологияДобавить в избранное
Опухолью почки называется очаговое образование, связанное с патологическим разрастанием почечной паренхимы, в состав которой входят патологически изменившиеся клетки. От характера роста опухоли классифицируются на злокачественные и доброкачественные.
Разновидности опухолевых новообразований
Простые кисты в почках являются доброкачественными опухолями, которые обладают типичными признаками во время диагностики. Простые кисты не могут преобразовываться в злокачественную опухоль и, как правило, не требуют последующего лечения.
Сложные кисты не всегда являются доброкачественными новообразованиями и могут содержать в себе раковые клетки. При диагностике сложных кист требуется проведение операции для организации гистологического обследования.
Ещё одна разновидность опухолевого новообразования — это твердая опухоль или по-другому паренхиматозная опухоль, которая не содержит в себе жидкости. Такие новообразования могут носить доброкачественный характер, но чаще бывают злокачественными.
Какие симптомы проявляются чаще всего
К основным симптомам развития опухолевого образования у взрослого человека считаются следующие:
- Появление крови в моче.
- Местные болевые ощущения в области расположения почки.
- Ощупываемая опухоль.
При обнаружении классической триады перечисленных признаков диагноз присутствия новообразования в почках не вызывает у специалистов сложностей. Но важно помнить о том, что перечисленные признаки в своем объединении не считаются симптомами заболевания и одновременно проявляют себя довольно редко. Триада симптомов свидетельствует о запущенности патологии и серьезные осложнения в почках.
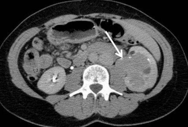
Как проводится диагностика новообразований
Важная роль в организации диагностики патологии отводится ультразвуковому обследованию почек и компьютерной томографии. Часто для диагностики используется и нефросцинтиграфия.
Обзорная рентгенография или экскреторная урография не представляют никакой диагностической ценности с точки зрения организации раннего диагностирования опухолевого новообразования в почке.
С изучения состояния магистральных сосудов органа, а именно аорты, сосудов, нижней полой вены, используется МРТ с введение контрастного вещества.
Присутствие в почке опухолевого тромба помогает определить кавография, артериография, аортография при расположении новообразования в нижней полой вене. Также данные методы дают возможность выявить тип васкуляризации новообразования и наличие добавочных сосудов. Эта диагностика помогает правильно установить объем и тактику реализации хирургического вмешательства. Пункционная биопсия для почки считается дополнительным методом диагностики.
Это важно!
Метастазы злокачественного образования обычно проникают в кости или легкие, поэтому каждому больному при возникновении подозрений на наличие опухоли в почке проводится рентгенография, компьютерная томография черепа, легких и позвоночника.
Лечение очагового образования
Главный способ проведения лечения опухоли в почке — это хирургическая операция. При опухоли доброкачественного характера по возможности организуется резекция. При формировании злокачественной опухоли самым правильным лечением считается нефрэктомия или радикальное удаление органа.
При обнаружении уже отдаленных метастазов удаление первичного очага поражения организма дает возможность продлить жизнь пострадавшему.
Это важно!
Одиночные метастазы в костях и легких не считаются противопоказанием для проведения удаления почки, так как может быть реализовано их иссечение. Показанием к резекции органа является опухоль единственной почки или двустороннее поражение.
Для улучшения качества жизни пациента с онкологией почки и при невозможности проведения оперативного вмешательства организуется лучевая терапия.
НОВОЕ
- На первых порах симптомов может не быть. Может быть небольшая микрогематурия. В этом случае кровь в моче выявляется только при микроскопическом исследовании, а визуально моча может выглядеть нормально. По мере роста опухоли появляются болевые ощущения, которые могут быть приняты за проблемы с позвоночником. Боль возникает из-за сдавления новообразованием сосудов, давления на стенки почечной лоханки.
Увеличение опухоли неизбежно приводит к нарушению функций почки. Об этом может свидетельствовать и увеличение артериального давления.
На поздних стадиях развития болезни появляются общие симптомы:
- Повышение температуры,
- Общая слабость, утомляемость,
- Потеря веса,
- Синдром сдавления нижней полой вены (тромбоз глубоких вен, отеки ног, дисфункция печени и другие).
При развитии метастазов общее состояние ухудшается, присоединяются симптомы поражения органа, где локализуются метастазы. В случае с опухолями почек это чаще всего легкие, кости.
Диагностика очаговых новообразований в почке
Для диагностики сегодня у врачей есть множество возможностей:
- Рентген,
- УЗИ,
- Урография (рентген с контрастным веществом),
- Нефросцинтиграфия,
- МРТ.
Для установления характера опухоли (является она доброкачественной или злокачественной) выполняют биопсию с последующим гистологическим исследованием тканей. В зависимости от результатов анализов делается заключение о диагнозе и о возможном лечении.
Как лечат новообразования в почке?
Ключевой момент в выборе тактики лечения — это размеры опухоли. При отсутствии симптомов и небольших размерах новообразования можно ограничиться динамическим наблюдением. Если опухоль не растет и не вызывает негативных последствий, то ее обычно не трогают.
При новообразовании, которое нарушает функцию почек, активно растет основным методом лечения является операция. В этом случае тоже важно, какого размера опухоль, но еще необходимо учесть ее характер. При доброкачественной опухоли, как правило, организуют резекцию почки с удалением только самого образования. В случаях со злокачественными опухолями этого бывает недостаточно, и прибегают к операции по удалению пораженной почки.
Сегодня операции на почках выполняются различными способами, в том числе с применением лапароскопии, лазерных технологий. Перспективны операции с использованием установки кибер-нож. Однако такие аппараты встречаются только в крупных клиниках, и операции стоят достаточно дорого.
Кроме хирургического метода лечения злокачественных образований в почках применяется облучение и химиотерапия. Эти методы используются как вспомогательные, до операции или после нее. В качестве основных — в тех случаях, когда операцию выполнить невозможно.
Существует ли профилактика
Конечно, для предупреждения многих заболеваний следует вести правильный образ жизни, не обзаводиться вредными привычками, питаться сбалансированно, вовремя отдыхать. Однако очаговые образования в почках обнаруживаются и у людей, которые соблюдают все правила. Важно помнить, что своевременное выявление новообразования во много раз увеличивает шансы на благоприятный исход, даже если это злокачественная опухоль.
Регулярные медицинские осмотры, участие в программах диспансеризации помогут заметить неблагополучие в самом начале патологического процесса. Тем более, что аппараты УЗИ и многие другие диагностические возможности сегодня есть практически в каждой районной поликлинике.
Оценка статьи:
Патологическое деление клеток в ускоренном темпе приводит к разрастанию тканей. В зависимости от их структуры образуется доброкачественная или злокачественная опухоль почки. Симптомы и лечение, сколько живут при каждом из заболеваний – все зависит от конкретного случая. Разберем основные типы опухолей почек, особенности их проявления и применяемой терапии.
Причины развития
В организме здорового человека каждую минуту погибают клетки, которые затем заменяются новыми. Это нормальный процесс, происходящий под контролем иммунной системы. Когда возникает сбой, клетки начинают делиться несоразмерно. В итоге образуются лишние структуры, мешающие работоспособности органа.
Основными причинами, способствующими развитию опухолей почек, являются:
- пожилой возраст (70 и более лет);
- пагубное влияние химических и токсичных веществ;
- радиоактивное и ультрафиолетовое излучение;
- генетические аномалии;
- наследственный фактор;
- заболевания иммунной системы.
Немаловажную роль в появлении доброкачественных и злокачественных образований играет длительный воспалительный процесс или хроническая болезнь.
Доброкачественная опухоль почки: симптомы и лечение, сколько живут
Доброкачественное образование менее агрессивно. Порой оно настолько незначительно, что даже не вызывает дискомфорта и не нарушает привычную жизнедеятельность органа. Опухоль характеризуется медленным ростом, при ее развитии не нарушается структура ткани и не образуются метастазы.
Пациент с подозрением на доброкачественное образование в почке обычно жалуется на:
- слабость и общее недомогание;
- боли в пояснице;
- кровь в моче;
- отечность ног;
- незначительное повышение температуры тела;
- потерю веса.
Врач при осмотре и пальпации может также обнаружить увеличение органа, прощупать образование неясного характера и отметить явное увеличение брюшной полости больного. Для установления более точной клинической картины назначается обследование в виде УЗ и лабораторной диагностики.
Лечение доброкачественной опухоли почки чаще всего сводится к наблюдению и поддержанию нормального функционирования органа. К хирургическому удалению прибегают лишь в некоторых случаях, когда польза от планируемого вмешательства значительно превосходит риски. Исход болезни обычно благоприятный, с большой продолжительностью жизни.
Типы доброкачественных образований в почках
В зависимости от того, в какой ткани произошел «сбой» деления клеток, различают аденомы, липомы, ангиомы, фибромы и прочие виды опухолей. Для качественного лечения необходимо максимально точно знать природу образования. Например, некоторые из них абсолютно безвредны и могут находиться в почке десятилетиями без ущерба здоровью. Существуют и такие, которые стоит удалять как можно скорее из-за быстрого роста измененной ткани и высокого риска малигнизации (превращения в злокачественную опухоль).
Аденома и онкоцитома
Это наиболее часто встречающееся патологическое разрастание железистой ткани почки. Характеризуется медленным темпом роста, а также маленькими размерами образований. В настоящий момент врачи не могут объяснить причины ее появления в организме человека.
Обычно болезнь протекает бессимптомно. Лишь в случаях значительного увеличения в размерах можно заподозрить рак почки в связи со схожестью клинических признаков. Многие врачи-диагносты считают аденому предвестником злокачественной опухоли, которая дает зачатки для развития более серьезного заболевания.
Онкоцитома чаще встречается у мужчин и выявляется случайно. В отличие от аденомы, размеры ее более внушительны. По микроскопическому строению клетки онкоцитомы схожи с раковыми, что дает основание считать ее опухолью с высоким уровнем малигнизации.
Ангимиолипома и фиброма
Это достаточно редкий вид доброкачественной опухоли почки, к образованию которой ведет врожденная мутация генов. Заболеванию в почти 80% случаев сопутствует туберозный склероз. Как и другие липомы почек, ангимиолипома поражает жировую ткань почки – именно здесь клетки начинают бесконтрольно делиться.
Образование может встречаться и в качестве одиночной болезни. Наиболее подвержены риску его развития женщины среднего возраста. Обычно опухоль бывает незначительных размеров и мало беспокоит пациента. Это обуславливает тот факт, что диагностируют ее чаще всего случайно.
Фиброма образуется за счет избытка клеток фиброзной ткани почки. Опухоль при этом располагается внутри или снаружи органа. Заболеванию больше подвержены женщины. Прежде чем клинически проявить себя, фиброма разрастается на периферии почки.
Разновидности злокачественных новообразований почки
Рак почки – онкологическое заболевание, которое в большинстве случаев поражает эпителиальную ткань органа. Риску подвержены мужчины и женщины 40–70 лет. Заядлые курильщики увеличивают свои шансы развития новообразования в 2–4 раза.
Как и поражения других органов, злокачественная опухоль почки развивается по разным сценариям, т. е. имеет разновидности. Среди них в 85% случаев диагностируют почечно-клеточный рак, который локализируется в эпителиальной ткани почечных трубочек. Кроме него встречаются злокачественные опухоли:
- Переходно-клеточная – на ее долю приходится 5–10% заболеваемости. Место поражения – лоханка почки. Заболевание имеет схожую клиническую картину с раком мочевого пузыря. Прогноз в 90% случаев благоприятный.
- Нефробластома – развивается преимущественно в детском возрасте. Редкий вид новообразования, встречающийся приблизительно в 8% случаев возникновения опухолей почек.
- Саркома – поражает соединительную ткань. Такой диагноз ставят очень редко. Это агрессивный тип опухоли, для которого характерно метастазирование и быстрый рост.
Удаление опухоли почки злокачественной природы – неминуемый этап лечения. Оперативное вмешательство в совокупности с терапевтическим воздействием максимально продлевает срок и качество жизни пациента.
Злокачественная опухоль почки: симптомы и лечение, сколько живут
Клинические признаки разных форм рака почки схожи, что затрудняет первичную диагностику. За профессиональной медицинской помощью людей побуждают обратиться такие тревожные признаки, как:
- кровь в моче;
- варикоцеле;
- болезненность и опухоли поясничного отдела позвоночника;
- чрезмерная утомляемость, слабость, усталость;
- гипертония;
- отечность ног;
- быстрая потеря веса;
- лихорадка.
Большинство симптомов напрямую указывают на заболевания мочевыделительной системы, но определить точный диагноз, основываясь только на жалобах пациента, практически невозможно.
Прохождение процедуры УЗИ, КТ или МРТ, а также лабораторных анализов прояснит ситуацию.
Методы лечения
Злокачественная опухоль почки, последствия бесконтрольного развития которой крайне печальны, с успехом лечится. При своевременной диагностике пациент в 90% случаев может рассчитывать на положительный исход. Методы лечения зависят от конкретной ситуации. Чаще всего в роли главного лекарства выступает хирургическое вмешательство.
При этом может быть выполнена резекция или полное удаление больного органа. Врач, принимая решение о характере оперативного лечения, отталкивается от принципа «не навреди». После удаления опухоли почки злокачественного характера борьба за здоровье не заканчивается. Для полного излечения применяют медикаментозную и лучевую терапию.
Как и любая болезнь, доброкачественные или злокачественные образования напрямую зависят от индивидуальных характеристик здоровья человека. Для разных индивидов по-своему будет проявляться опухоль почки, симптомы и лечение. Сколько живут пациенты с таким диагнозом? Все опять же сводится к конкретным данным. Доброкачественные опухоли обычно совсем не мешают жить полноценно и долго. Злокачественные опухоли без метастазов излечиваются в 90% случаев.
Используемые источники:
- https://urohelp.guru/pochki/opuholi/ochagovye-obrazovanija.html
- https://kardiobit.ru/pochki/lechenie/obemnoe-obrazovanie-pochki-chto-eto-vidy-i-lechenie
- http://tvoelechenie.ru/urologiya/chto-takoe-ochagovoe-obrazovanie-v-pochke-i-pochemu-ono-formiruetsya.html
- http://tvoipochki.ru/opuxol-ili-ochagovoe-obrazovanie-pochki.html
- https://fb.ru/article/248016/opuhol-pochki-simptomyi-i-lechenie-skolko-jivut-pri-takom-diagnoze-i-ot-chego-eto-zavisit







